Καρδιολόγος Αλέξανδρος Α. Σίσκος

Υπηρεσίες Επεμβατικής Καρδιολογίας

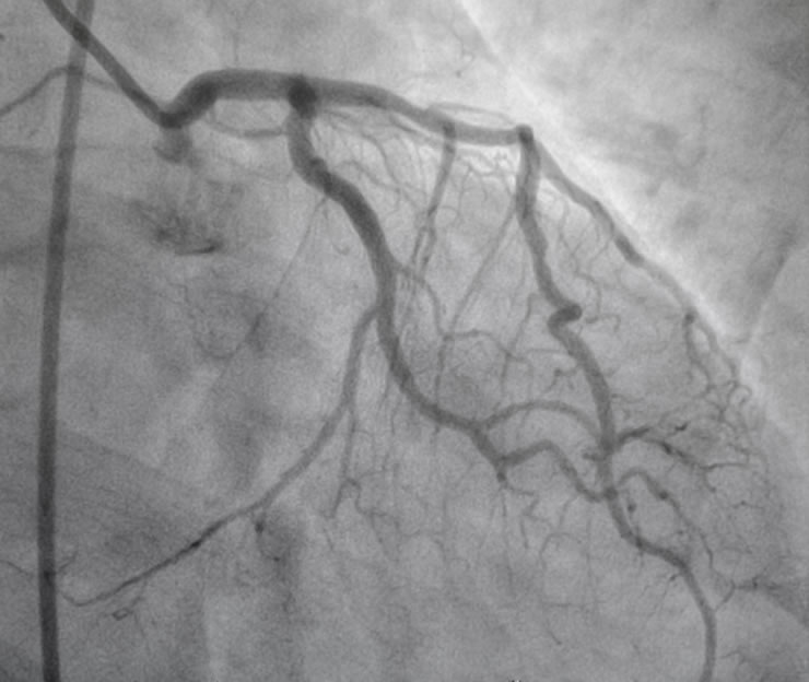
Στεφανιογραφία

Είναι μία ελάχιστα επεμβατική διαγνωστική μέθοδος με την οποία γίνεται ο έλεγχος των στεφανιαίων αγγείων και θεωρείται η χρυσή τομή στην διάγνωση της στεφανιαίας νόσου. Πραγματοποιείται μέσω της κερκιδικής ή της μηριαίας αρτηρίας όπου και τοποθετείται ένα θηκάρι (sheath), διαμέτρου 1.9 χιλιοστών. Μέσω αυτού προωθούνται μέχρι το ύψος της αορτικής βαλβίδας ειδικοί διαγνωστικοί καθετήρες. Εν συνεχεία γίνεται έγχυση σκιαγραφικής ουσίας μέσω ειδικών διαγνωστικών καθετήρων με αποτέλεσμα την απεικόνιση των στεφανιαίων αγγείων.

Αγγειοπλαστική

Είναι μία ελάχιστα επεμβατική θεραπευτική μέθοδος μέσω της κερκιδικής ή της μηριαίας αρτηρίας. Η αγγειοπλαστική πραγματοποιείται με μπαλόνια, stent ή συνηθέστερα με τον συνδυασμό και των δύο. Μέσω ενός καθετήρα αγγειοπλαστικής προωθείται αρχικώς ένα οδηγό σύρμα, το οποίο λειτουργεί ώς το κατευθυντήριο μέσο, μέσω του οποίου προωθούνται οι συσκευές (μπαλόνια, stents, συσκευές αθηρεκτομής, συσκευές θρομβο-αναρρόφησης, IVUS, OCT). Αφού τοποθετηθεί το μπαλόνι ή το stent στην περιοχή στόχο, εκπτύσσονται μέσω θετικής πίεσης ολοκληρώνοντας την παρέμβαση.

FFR

Είναι μία διαγνωστική μέθοδος η οποία μέσω ενός ειδικού σύρματος υπολογίζει την ροή του αίματος στο αγγείο και μπορεί να διακρίνει με εξαιρετική ακρίβεια την σημαντικότητα μιας στένωσης στα στεφανιαία αγγεία. Κρίνεται ως ο χρυσός κανόνας σε στενώσεις ενδιάμεσης βαρύτητας με αποτέλεσμα τον χαρακτηρισμό τους ως αιμοδυναμικά σημαντική ή όχι.

Οι ασθενείς οι οποίοι υποβάλλονται σε αγγειοπλαστική καθοδηγούμενη από FFR (FFR guided PCI), έχει αποδειχθεί σε πολλές μελέτες ότι έχουν μικρότερη θνητότητα, μεγιστοποιώντας την αξία μιας τέτοιας παρέμβαση.

IVUS (Intravascular UltraSound)

Το IVUS μεταφράζεται στα ελληνικά ως ενδοστεφανιαίος υπέρηχος. Είναι μία επεμβατική μέθοδος απεικόνισης η οποία χρησιμοποιεί την τεχνολογία των υπερήχων. Ο καθετήρας IVUS προωθείται στην περιφέρεια του αγγείου, αποσύρεται αυτόματα ο καθετήρας IVUS προσφέροντας την εκ των έσω απεικόνιση του αγγείου.

Το IVUS, όπως και το OCT αρχικώς χρησιμοποιούνταν για διαγνωστικούς σκοπούς. Στην σύγχρονη εποχή της επεμβατικής καρδιολογίας όμως, εκτός από τις διαγνωστικές ιδιότητες, μπορεί να βελτιστοποιήσει το αποτέλεσμα μίας αγγειοπλαστικής, προσφέροντας στον ασθενή το καλύτερο δυνατό αποτέλεσμα μειώνοντας συγχρόνως τα μείζονα καρδιαγγειακά συμβάματα.

Είναι μία εξαιρετική συσκευή στα χέρια του επεμβατικού καρδιολόγου, η οποία μεταφράζεται σε βελτιστοποίηση των βραχυπρόθεσμων αλλά και μακροπρόθεσμων αποτελεσμάτων μίας αγγειοπλαστικής.

OCT (Optical Coherence Tomography)

Το OCT μεταφράζεται στα ελληνικά ως οπτική συνεκτική τομογραφία και είναι μία επεμβατική μέθοδος ενδοστεφανιαίας απεικόνισης. Ο καθετήρας OCT προωθείται στην περιφέρεια του αγγείου, χορηγείται σκιαγραφική ουσία και αποσύρεται αυτόματα ο καθετήρας OCT προσφέροντας την εκ των έσω απεικόνιση του αγγείου. Το OCT είναι η μέθοδος ενδοστεφανιαίας απεικόνισης με την υψηλότερη ευκρίνεια συγκριτικά με το IVUS.

Το OCT όπως και το IVUS αρχικώς χρησιμοποιούνταν για διαγνωστικούς σκοπούς. Στην σύγχρονη εποχή της επεμβατικής καρδιολογίας όμως, εκτός από τις διαγνωστικές ιδιότητες και εάν ο ιατρός έχει τις γνώσεις, μπορεί να βελτιστοποιήσει το αποτέλεσμα μίας αγγειοπλαστικής, προσφέροντας στον ασθενή το καλύτερο δυνατό αποτέλεσμα μειώνοντας συγχρόνως τα μείζονα καρδιαγγειακά συμβάματα.

Είναι μία εξαιρετική συσκευή στα χέρια του επεμβατικού καρδιολόγου, η οποία μεταφράζεται σε βελτιστοποίηση των βραχυπρόθεσμων αλλά και μακροπρόθεσμων αποτελεσμάτων μίας αγγειοπλαστικής.

TAVI

Η TAVI είναι μία σύγχρονη θεραπευτική μέθοδος της αορτικής στένωσης. Είναι ελάχιστα επεμβατική και πραγματοποιείται μέσω της μηριαίας αρτηρίας με τοπική αναισθησία. Η TAVI δεν είναι χειρουργική μέθοδος. Εντός της μηριαίας αρτηρίας τοποθετείται προσωρινά ένα θηκάρι (sheath) μέσω του οποίου προωθείται η προσθετική βαλβίδα. Τοποθετείται στο ύψος της αορτικής βαλβίδας και εκπτύσσεται μέσω ενός μπαλονιού ή αυτόματα (αναλόγως την τεχνολογία της βαλβίδας). Στο τέλος αφαιρείται το θηκάρι, ενώ η μηριαία αρτηρία συρράφεται με νέας τεχνολογίας συσκευή η οποία επιτρέπει στον ασθενή την επόμενη ημέρα να λάβει εξιτήριο. Η συνολική διάρκεια νοσηλείας συνήθως είναι 0-2 βράδια.

Orbital Atherectomy (OA)

Το Orbital Atherectomy είναι μία εξειδικευμένη συσκευή αντιμετώπισης σοβαρά επασβεστωμένων βλαβών με υψηλή αποτελεσματικότητα. Μόλις το 2023 έγινε διαθέσιμο στην Ελληνική αγορά. Το Orbital Atherectomy έχει την ιδιότητα της μείωσης και απομάκρυνσης του ασβεστίου μέσω ενός στέμματος επικαλυμμένου με διαμάντια. Αυτό το στέμμα περιστρέφεται σε υψηλές ταχύτητες (125.000-150.000 στροφές/λεπτό) προσφέροντας τις προαναφερθείσες ιδιότητες στην συσκευή.

Μέσω του οδηγού καθετήρα και του οδηγού σύρματος προωθείται ο ειδικός καθετήρας του Orbital Atherectomy μέχρι την αρχή της βλάβης στόχου. Η παρέμβαση συνεχίζεται με την προώθηση και την απόσυρση αυτού του καθετήρα, ο οποίος μέσω της περιστροφής αφαιρεί μέρος του ασβεστίου, ενώ ολοκληρώνεται με την τοποθέτηση ενός stent.

Rotational Atherectomy (RA)

Το Rotational Atherectomy είναι μία εξειδικευμένη συσκευή αντιμετώπισης σοβαρά επασβεστωμένων βλαβών με υψηλή αποτελεσματικότητα. Χρησιμοποιείται στην επεμβατική καρδιολογία εδώ και δεκαετίες. Το Rotational Atherectomy έχει την ιδιότητα της μείωσης και απομάκρυνσης του ασβεστίου μέσω μιας ελαίας επικαλυμμένης με διαμάντια. Αυτή περιστρέφεται σε υψηλές ταχύτητες (150.000-200.000 στροφές/λεπτό) προσφέροντας τις προαναφερθείσες ιδιότητες στην συσκευή.

Μέσω του οδηγού καθετήρα και του οδηγού σύρματος προωθείται ο ειδικός καθετήρας του Rotational Atherectomy μέχρι την αρχή της βλάβης στόχου. Η παρέμβαση συνεχίζεται με την προώθηση αυτού του καθετήρα, ο οποίος μέσω της περιστροφής αφαιρεί μέρος του ασβεστίου, ενώ ολοκληρώνεται με την τοποθέτηση ενός stent.

Intravascular Lithotripsy Balloon (IVL)

Το Intravascular Lithotripsy (IVL) Balloon είναι μία σχετικά νέα συσκευή. Η τεχνολογία βασίζεται στην συσκευή της νεφρικής λιθοτριψίας, η οποία υφίσταται για δεκαετίες. Το IVL είναι ένα μπαλόνι το οποίο με τη χρήση υπερήχων έχει τη δυνατότητα να προκαλεί ρήγματα στο ασβέστιο. Με αυτό το τρόπο μετατρέπει την επασβεστωμένη βλάβη έτοιμη να υποδεχθεί την έκπτυξη ενός stent. Έχει εξαιρετικά υψηλή αποτελεσματικότητα.